Posted by Dr. Julian De Silva | August 12th, 2021

Knowing how to get rid of dark circles under eyes helps solve your issues.
When there’s something odd with your eyes, everyone will notice it. One of the most common issues patients have are dark circles. Knowing how to get rid of dark circles under eyes helps you solve this problem.
Your eyes are among the most noticeable parts of your face. When anything near it looks strange, your eyes do as well. This is the main reason why people with dark circles under eyes are bothered.
Dark circles under eyes make you look tired and generally unattractive. They can also affect how people see and treat you. Given these, it’s crucial that you know how to get rid of dark circles under eyes.
In this article, I will talk about dark circles, their causes, how to get rid of dark circles under eyes, and how the procedure goes. I’ll also discuss what you can expect before, after, and during the surgery.

Lower blepharoplasty is a long-term solution to your dark circles.
As its name implies, dark circles under eyes are characterised by dark skin beneath both of your eyes. While often associated with bruising or redness from an injury or infection, dark circles are different.
Dark circles last longer than bruising or redness. They can also be more noticeable sometimes. Other times, they are less visible. If this is the case, dark circles are caused by stress and tiredness.
Sometimes, dark circles can also be shadows cast by puffy eyes or hollows under eyes. The said issues develop because of aging. They are normal and inevitable.
In addition, dark circles under eyes are associated with under eye bags. As you age, the tissue around your eyes, specifically those that support your eyelids become weak.
Due to this, fat moves more into the front, making your under eye look puffy. Fluid can also accumulate beneath your eyes. This adds to the puffiness. These can aggravate or cause dark circles.
On the upside, dark circles are usually not a sign of a serious medical problem. However, if dark skin and swelling persist beneath one eye, you should talk to a doctor.
Despite not being a sign of a serious medical issue, dark circles are a common cosmetic problem. They make you look tired and generally unattractive. Moreover, they can affect how people see and treat you.
Hence, if you want a long-lasting solution that makeup or creams cannot provide, book a consultation with me.
Depending on your goals and the causes of your dark circles, I may recommend one or more treatments for you. For instance, lower blepharoplasty alone can solve the issue. Other times, you might need to go complementary procedures like facelift and upper blepharoplasty.

There are many causes of dark circles under eyes.
From aging to aging to hyperpigmentation, there are several causes of dark circles under eyes. Here they are:
1. Aging
Aging is one of the primary causes of dark circles under eyes. As you get older, your collagen levels decrease.
Collagen is a protein that provides strength and structure to your skin. Hence, low collagen levels make the tissue around your eyes become weak. This decrease in collagen can also cause fat to go beneath your eyes. As a result, your eyes suffer from dark shadows and puffiness.
The most common reason dark circles under eyes form is the hollowing beneath your eyes from the loss of support. This is why patients who tried every cream in the market did not improve.
In addition, aging-related dark circles occurs in layers. Due to this, you will see your skin gradually sag from your brows to your eyelids. Deep under your eyes, there is a framework for muscles, ligaments, bones that hold everything in place. Since they do not age at the same time, their aging can lead to hollows, bags, and dark circles under your eyes.
2. Heredity
Aside from aging, heredity is also a common cause of dark circles under eyes. You can inherit conditions that can aggravate or cause dark circles.
Some families have more prominent dark circles than others. Thus, if prominent dark circles are common among your family members, you will probably have them, too. You might have more prominent dark circles compared to kids your age. As you get older, your dark circles become worse.
Moreover, there are certain medical conditions that can cause or contribute to the development of your dark circles.
For one, pigmentation disorders can be inherited. They are a condition in which your melanin production becomes abnormal. Since your skin gets its color from melanin, pigmentation disorders cause discoloration. Some affect certain parts (e.g. forehead, neck, under eyes), while others affect your whole body.
In addition, thyroid disease can cause dark circles under the eyes. It is because thyroid disease promotes fluid retention. This can be more intense around the eyes. Consequently, the skin under the eyes goes down. This creates under eye bags and shadows.
Moreover, some people are genetically prone to subluxation, which is the moving of fat under the eyeball to the front of the eye.
3. Ethnicity
Ethnicity also plays a role in one’s dark circles under eyes. Since ethnicity determines one’s skin color, it can contribute to the appearance of dark circles.
To begin with, dark circles are more noticeable in people who have pale skin. These include Caucasians, who are predisposed to have skin.
As you may well know, a pale complexion aggravates the appearance of dark circles. This is also the reason why people with pale skin and dark circles have a hard time concealing their dark under eye using makeup.
In addition, when people with fair skin develop dark circles, they become more noticeable. It is because dark circles are in contrast with their overall skin color.
People of color can also develop dark circles under their eyes. Even if their dark circles are not as prominent at the beginning, they can develop over time.
It is because people of color generally produce more pigment around their eyes. Due to this predisposition, they cause darkened eyelids and under eye.
4. Sunlight
Another cause of dark circles under eyes is sunlight. Since sunlight contains harmful UV (ultraviolet) rays, overexposure can contribute to dark circles.
For one, the skin under your eyes is the thinnest in your body. When it is affected by the sun’s harmful rays, the damage becomes prominent.
Sun damage also dilates your blood vessels. This increases blood flow to your under eye. As a result, dark circles come out.
Moreover, sun damage promotes melanin production. This darkens the areas which have been exposed to the sun for long periods of time. Since the skin under the eye is always exposed, you must take preventive measures.
Wearing sunscreen and eyeglasses can help. You can also opt to use an umbrella when you go out. Limiting your sun exposure also helps.
5. Poor Lifestyle Habits
Poor lifestyle habits are another factor contributing to the appearance of dark circles under eyes. These habits include drinking excessive alcohol, lack of sleep, poor diet, stress, and not drinking enough water.
When you smoke, your body is exposed to free radicals that break down collagen in your skin. As I mentioned, collagen is a substance that supports your skin. It makes your skin tight and elastic. Hence, collagen breakdown makes your skin more prone to hollowing and darkening.
Moreover, smoking damages the vitamins that repair your skin. Without their help, the skin under your eyes becomes vulnerable to darkening.
On top of that, cigarettes have nicotine, a substance that can negatively affect your sleeping pattern.
Speaking of sleeping, lack of sleep can also aggravate dark circles. If you pay attention to your eyes after not sleeping the night before, dark circles appear.
Lack of sleep also makes your eye bags heavier. This happens due to fluid buildup. As a result, your dark circles look more visible. This explains why your dark circles become more noticeable after staying up for more than 24 hours.
In addition, lack of sleep causes your skin to look pale and dull. This makes dark blood vessels and tissues under your skin to show.
Stress also has the same effect. When you are stressed, the blood spreads out under your skin. Then it oxidises. Consequently, a dark purple hue under your eyes appears.
Not having enough nutrition from food can aggravate your dark circles as well. A diet filled with a huge amount of sugar causes inflammation. This irritates your skin. Sometimes, you will be compelled to rub your eyes, which makes your dark circles worse.
Lastly, not drinking enough water each day can worsen your dark circles. When your body does not have enough water, the skin under your eyes looks sunken. This casts a shadow that makes your dark circles worse.

The best way to get rid of dark circles is through lower blepharoplasty.
There are several ways — both natural and surgical — that you can use to deal with dark circles. However, not all of them offer a permanent solution.
While creams and patches can help, they do not offer long-lasting solutions. They also just lessen the visibility of dark circles. They do not eliminate it. Only surgery can.
For your information, here’s how you can get rid of dark circles under eyes:
1. Makeup
Wisely applying makeup on your dark circles can help lessen their appearance. Concealers in particular can help lighten your dark circles. However, makeup can only hide your dark circles for a few hours. It is not a permanent solution to a permanent problem.
2. Skincare
Wearing sunscreen is crucial to reducing the appearance of dark circles under the eyes. Eye creams with collagen can help. In addition, brightening creams can help lighten your dark circles. However, just like makeup, they are not a permanent solution to your problem.
3. Non-Surgical Treatments
Non-surgical treatments like laser resurfacing and dermal fillers can also help reduce the appearance of your dark circles. While they are not permanent, they are better solutions to dark circles than makeup and skincare.
4. Lifestyle Changes
Eating a healthy diet, drinking enough water, and getting enough sleep can also help. Healthy lifestyle habits have positive effects on your body. These effects show on your skin.
5. Surgery
Surgery is the best solution to dark circles. Eyelid surgery or blepharoplasty produces the longest results. The procedure can get rid of your dark circles permanently. The results can last up to a lifetime, making it a great investment in yourself.

Eyelid surgery effectively helps eliminate dark circles under eyes.
As I briefly stated, eyelid surgery or blepharoplasty is the best solution to your dark circles. It is a surgical procedure performed on the eyelids to eliminate dark circles and eye bags.
There are two types of blepharoplasty. The first is performed on the upper eyelid (upper blepharoplasty). The second type is performed on the lower eyelid (lower blepharoplasty).
While these two procedures are performed on specific areas, they often complement each other. Many of my patients choose lower and upper blepharoplasty because it makes their eyes look more attractive overall. It also gives patients a younger-looking appearance― one that cannot be achieved by eye creams or makeup.
At my clinic, blepharoplasty lasts for an hour to an hour and a half. The surgical procedure may take longer if there are complementary procedures needed. The duration can also vary according to your condition and goals.

Lower blepharoplasty has several benefits including getting rid of dark circles and eye bags.
As I briefly said, blepharoplasty is the best way to get rid of dark circles under eyes. Let me explain why. Here are the several benefits of removing dark circles through blepharoplasty:
1. Lower blepharoplasty removes your dark circles.
One main benefit of lower blepharoplasty is removing your dark circles. Aging, heredity, and ethnicity are natural causes of dark circles.
Dark circles caused by natural processes cannot be often solved by over-the-counter products. Only lower blepharoplasty can completely get rid of your dark circles. It is a permanent solution to your dark under eye.
2. Lower lid blepharoplasty eliminates your eye bags.
Your dark circles are not the only problem that can be solved by surgery. Lower lid blepharoplasty also gets rid of your eye bags. Since eye bags are usually caused by fat going forward, removing that fat can solve it.
During lower lid blepharoplasty, I remove the excess fat under your eyes. By doing this, the procedure effectively gets rid of your heavy eye bags. Since your eye bags cast a shadow over your under eye, this helps with your dark circles as well.
3. Lower blepharoplasty smoothens your under eye.
Under eye wrinkles are among the most common issues for aging people. It worsens the appearance of other signs of aging like crow’s feet. Eye bag surgery can permanently solve these.
During lower blepharoplasty, I will sew your skin back after removing excess fat under your eyes. This makes your under eye tighter, giving you smoother, younger-looking skin.

You must have a consultation before having lower lid blepharoplasty.
Blepharoplasty for dark circles is a major surgical procedure that requires careful planning and execution. Hence, you should have a consultation before going through the procedure.
During the consultation, I will listen to your goals. I will also check your current condition and medical history. Based on this information, I will tell you whether you are an ideal candidate for lower lid blepharoplasty.
I will further evaluate your face and see if you need other treatments. If yes, I will explain each of them. Rest assured, you can then determine the schedule for your surgery.

Blepharoplasty involves fat transposition and fat removal.
I will give you anaesthesia first of all. For full disclosure, my clinic uses sedation anaesthesia. It is because it is safer than general anaesthesia. Sedation anaesthesia also allows you to recover faster.
During surgery, I open a fibrous layer. It is called the orbital septum. Once this is opened, your eye’s orbital fat pockets reveal themselves.
I then transfer the fat from your under eye to your cheek. I do this conservatively because you can always add but not lessen. This process is called fat transposition.
If you have severe dark circles and eye bags, I will do fat removal as well.
To enhance the result, I do a canthopexy stitch to support your lower eyelid. This stitch is totally concealed and dissolves a few weeks after the surgery.

Lower blepharoplasty involves side effects that usually go away one to two weeks after surgery.
All of my patients’ sight returned to normal right after the surgery. In addition, they go home 30 minutes after the surgery. Many of them go back to work or school on the same day, given that they do not do intense physical activities.
Though this rarely happens, you might have dry eyes after the lower blepharoplasty. However, it only lasts for up to seven days.
You might also experience bruising and swelling after the surgery. However, these side effects go away one to two weeks after the procedure.
Here are some photos of my patients before and after blepharoplasty:

Patient 1: This 63-year-old woman was concerned about her eyes being overshadowed by puffy & dark lower eyelids and drooping brows. She had complete blepharoplasty. After the surgery, her eyes became more alive. Her dark circles and drooping brows went away as well.

Patient 2: This 46-year-old woman was concerned about people asking her if she is tired all the time. She had complete blepharoplasty. After the surgery, her eyes became more youthful. Her dark circles and eye bags were gone and her brows were lifted.

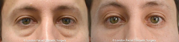
Patient 3: This young man was concerned about his large eye bags and dark circles. He had lower blepharoplasty. After the surgery, his eyes became more alive. His eye bags and dark circles were removed as well.
Here are some verified reviews from my patients:
“I wanted to have an upper blepharoplasty for many years and had consultations with several of the well known London plastic surgeons, however, I never quite felt comfortable enough until I had my consultation with Dr De Silva. I live overseas and although my consultation was via Skype, I immediately felt that Dr De Silva listened to me, understood my concerns and was realistic about the results I would achieve by having surgery. I have found with many of the so called ‘celebrity’ plastic surgeons that the consultation can be like a conveyor belt, they can be very over powering and dismissive and you are made to feel that they are doing you a favour by seeing you! Not so with Dr De Silva, the whole experience from booking the Skype consultation through to arriving in the UK, having the face to face consultation and on the day of the surgery was amazing. The front of house team are incredibly knowledgeable, friendly and reassuring, I called several times throughout the process and every time I called the team were friendly, reassuring and never made me feel like I was being a nuisance. I had twilight sedation which I have to say I was very nervous about, however, the anaesthetist was very calm, caring and reassuring, I didn’t feel anything apart from a little bit of discomfort from the laser but it was over so quickly that it would certainly not put me off having another procedure. I did bruise quite severely after the surgery and had significant swelling but the swelling subsided within a few days and the bruising was easily camouflaged with make up. It is just over a year since my surgery and I am absolutely thrilled with the results,I am so glad I had the surgery and Dr De Silva will be my surgeon of choice for future procedures.”
Source: RealSelf
“Had lower blepharoplasty surgery with Dr De Silvia. I have wanted it done for such a long time but it was a big decision to make. I decided to go for it and it’s the best thing I’ve ever done. I finally look fresh and not constantly tired. The whole experience was amazing. I can not fault anything. The recovery was only a week and two weeks for the swelling to completely go. I am so pleased with the results. Thank you so much.”
Source: BirdEye
“I live in Liverpool and travelled to Dr De Silva for my blepharoplasty after a lot of research. I am so happy I did! I can’t recommend him & his team enough. They are the most professional, caring and reassuring team. The clinic is very clean, organised and welcoming. I was really nervous beforehand but there was absolutely no need to be, as it was the best experience it could have been- I wasn’t aware of anything happening under the sedation, I felt like I just had a nap, woke up and it was done. The sedation doctor was also lovely. The whole thing was (unbelievably) totally pain-free and the aftercare was second to none. I am delighted with the results! 2 months on and there is no scarring at all and the result keeps on getting better and better. So if you’re considering blepharoplasty – do not go to anyone else. It’s your face!”
Source: RateMDs
Knowing how to get rid of dark circles under eyes is crucial in making an informed decision about which treatment to take. Every patient is unique and therefore needs a customised treatment plan.
If you are ready to take the next step to a better you, book a consultation now!